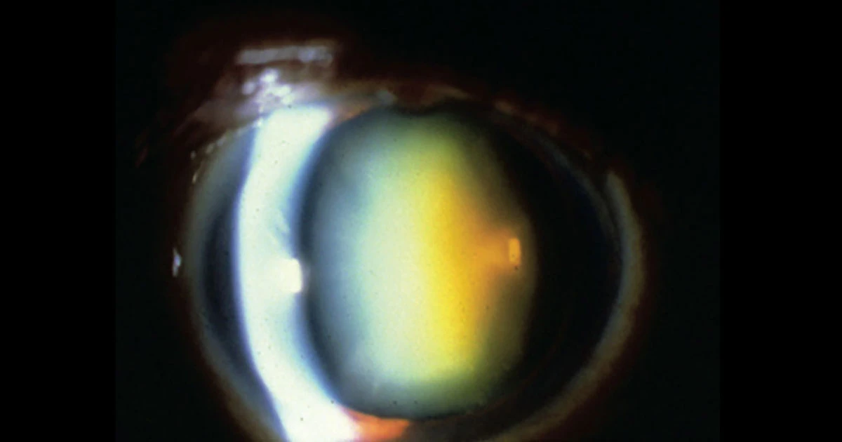
Bringing Clarity to Cataracts

Bringing Clarity to Cataracts

Cataracts cause 40% of cases of visual impairment in Australians aged 55 and over, and there are currently over two million Australians in this age bracket who suffer from untreated cataract, most of whom live in remote and regional Australia. Globally, cataract is the leading cause of blindness.
Read More...
When is the right time to have cataract surgery?

When is the right time to have cataract surgery?

Whilst many older individuals have at some stage been told by their eye care provider that they have cataracts, fewer have had a discussion about the best time to have cataract surgery.
Read More...
 Page 1 / 1 

For appointments and enquiries call   (02) 9452 6444

Our rooms are open 8:30 am - 5:00 pm Monday to Friday

Unit 11, Building 7
49 Frenchs Forest Rd East
Frenchs Forest NSW 2086

info@foresteyesurgery.com.au
Phone: (02) 9452 6444
Fax: (02) 9452 6566

     

© 2014– Forest Eye Surgery | Privacy Policy | Disclaimer | Website design: WebInjection